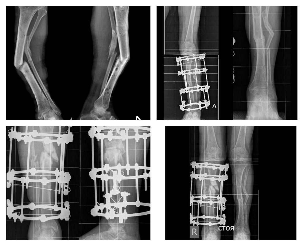
56-летний пациент из Биробиджана получил в дорожной аварии серьезную политравму обеих нижних конечностей. Лечение по месту жительства в 2023 году было связано с первичной хирургической обработкой ран и остеосинтезом голеней аппаратом Илизарова.

Однако лечение не принесло ожидаемых результатов, сращения переломов достичь не удалось. Постепенно сформировалась выраженная деформация обеих голеней более 45 градусов.

Мужчина был вынужден передвигаться на инвалидной коляске. Спустя год после аварии мужчина обратился за помощью в Центр Илизарова. С посттравматическими ложными суставами костей голеней его госпитализировали в Клинику реконструктивной хирургии повреждений нижних конечностей и таза. В отделение №3 накоплен колоссальный опыт лечения посттравматических дефектов и деформаций костей конечностей.

- Первым этапом мы по методу Илизарова исправили деформацию левой голени, достигли консолидации отломков в правильном положении. Вторым этапом уже в этом году выполнили корригирующую остеотомию костей правой голени и остеосинтез аппаратом Илизарова. Мы очень довольны результатом.

Восстановлена биомеханическая ось обеих нижних конечностей, пациент на период фиксации поехал домой, выполняя рекомендации врачей Центра Илизарова под наблюдением местных специалистов, - рассказал заведующий отделением №3 Центра Илизарова, к.м.н. Виталий Нарицын.

В данной ситуации метод Илизарова оказался мощным инструментом в решении сложной операционной задачи в совокупности с многолетним опытом, которым владеют специалисты Центра Илизарова.

Уже после первой операции в Кургане житель Еврейской АО передвигался на своих ногах с помощью костылей, а в после демонтажа аппарата на правой голени, сможет вернуть себе привычные навыки ходьбы без дополнительных средств опоры.