Итоги 2025 года для Центра Илизарова в дайджесте главных событий
30.12.2025
В ЯНВАРЕ мы акцентировали…
- Кистевые хирурги Центра Илизарова работают с опасными последствиями новогоднего праздника. В Клинику реконструктивно-пластической хирургии и хирургии кисти попал маленький пациент с последствием минно-взрывной травмы. 3-летнему малышу в руки попала петарда, что вызвало серьезные повреждения кисти.
- Делегация Центра Илизарова приняла участие в научном конгрессе ASAMICON Индия. Поделиться с коллегами научным опытом приехали Артем Ермаков, Денис Моховиков и Илья Сутягин. Доклады курганцев вызвали большой интерес у научного сообщества. Курганские врачи провели мастер-класс по применению метода чрескостного остеосинтеза.
в ФЕВРАЛЕ мы привлекали внимание…
- Центр Илизарова получил сертификат качества и безопасности Росздравнадзора.
- Делимся опытом успешной интеграции данных единственной в России лаборатория анализа походки в клиническую практику с зарубежными коллегами. Ученые Центра Илизарова приняли участие в качестве главных спикеров заседания общества травматологов-ортопедов Республики Узбекистан при ГУ РСНПМЦ ТО по тематике «Лаборатория походки. Возможности и перспективы».
в МАРТЕ мы информировали…
- Нейрохирурги Центра Илизарова прооперировали пациента с гигантской кистой на позвоночнике. После травмы позвоночника, полученной в зоне спецоперации, мужчина столкнулся с редким и опасным осложнением — гигантской кистой, заполненной спинномозговой жидкостью. Врачи НМИЦ ТО имени академика Г.А. Илизарова провели операцию по иссечению кисты, объем содержимого которой составлял почти стакан, и реконструкцию дурального мешка.
- Проект «Рентген коленного сустава» анализирует цифровые результаты рентгенологических исследований коленного сустава с целью диагностики признаков остеоартроза по классификации Н.С. Косинской. Продукт выпущен совместно Центром Илизарова и СберМедИИ. ИИ участвует в диагностике патологии суставов и помогает врачам в принятии решения. ИИ «обучался» на основе снимков 300 пациентов с диагнозом деформирующий артроз коленного сустава и экспертных заключений.
в АПРЕЛЕ мы сообщали…
- В рамках нацпроекта "Продолжительная и активная жизнь" анестезиологи НМИЦ ТО имени академика Г.А. Илизарова внедряют новые методы анестезии возрастным пациентам. Недавний возрастной рекорд: в Центре Илизарова был прооперирован пациент 98 лет. Успешно прошла операция эндопротезирования тазобедренного сустава, весь ранний послеоперационный период с возрастным пациентом находились специалисты отделения анестезиологии и реанимации.

- В Клинике реконструктивно-восстановительной хирургии повреждений конечностей и таза прооперировали двух возрастных пациенток 90 и 96 лет с переломом шейки бедра. Такие операции в регионе проводят исключительно в НМИЦ ТО имени академика Г.А. Илизарова Минздрава России.
В МАЕ мы делились…
- Решением международного жюри ХХVIII Московского международного Салона изобретений и инновационных технологий «Архимед-2025» Серебряная медаль салона присуждена проекту Центра Илизарова «Серкляжное полотно для охватывающей фиксации костных отломков и осколков (антибактериальное, биодеградируемое, биоактивное)»
- Всероссийская научно-практическая конференция "Эффективные практики организации сестринской деятельности" собрала более 200 делегатов. В рамках форума состоялся конкурс профессионального мастерства среди медсестер 7 федеральных медицинских учреждений и ВУЗов страны.
- Уникальный коллектив поющих медиков Камерный хор Центра Илизарова стал Лауреатом 1 степени Международного конкурса исполнительского мастерства «Точка притяжения», г. Екатеринбург.
- Экипаж здоровья Центра Илизарова посетил Новосибирск. Врачи Клиники патологии позвоночника и редких заболеваний и Клиники нейроортопедии и системных заболеваний провели консультативный прием пациентов со спинально-мышечной атрофией. Из 30 осмотренных пациентов, 17 получили направление на оперативное лечение.
- В Центра Илизарова организовали круглый стол «Изобретательская деятельность и интеллектуальная собственность организаций».
ИЮНЬ нас удивил…
- 700 человек приняли участие в XIV Кубке по легкой атлетике на призы кавалера «Ордена Улыбки»: воспитанники детских садов, школьники, пациенты, сотрудники.
- Два насыщенных дня научной программы Всероссийской ветеринарной конференции I Симпозиума VS позволили коллегам из России и Казахстана найти решение на актуальные вопросы ортопедии, травматологии и нейрохирургии в лечении животных.
- Центр Илизарова успешно прошел очередной надзорный аудит по международному стандарту ISO 9001:2015, подтвердив высокий уровень своей системы менеджмента качества.
- Более 1000 врачей из 29 стран приняли участие в научно-практической конференции «Илизаровские чтения» в Кургане
- В День молодежи Ладе Чехловой, аспирантке Центра Илизарова по специальности «Физиология человека и животных», присвоено звания Лауреата областной молодежной премии в номинации «За высокие достижения в научно–техническом творчестве и учебно-исследовательской деятельности». Лада Юрьевна учится в аспирантуре, занимается спортом - волейболом, стрельбой, плаванием, увлекается костным моделированием.
в ИЮЛЕ мы обсуждали…
- «Полосатый фестиваль 2025»: День рождения маскота Профессора Тигра с размахом отпраздновали в Центре Илизарова.
- Женщина из ДНР с травмой нижней конечности прошла успешное лечение в Центре Илизарова. Жительница города Артемовск пострадала в результате артобстрелов, получив множественные огнестрельные и минно-взрывные ранения. Пострадавшая чудом избежала ампутации. Мужественная женщина стала героиней нескольких репортажей региональных и федеральныхСМИ.
- Эксперты-рентгенологи НМИЦ ТО имени Г.А. Илизарова Минздрава России выявили редчайшие случаи и предотвратили жизнеугрожающие состояния молодых пациентов.
- Экспертная группа НМИЦ ТО имени академика Г.А. Илизарова посетила Камчатку с повторным рабочим визитом, оценить динамику изменений с 2022 года, акцент сделан на оптимизацию системы маршрутизации пациентов на полуострове.
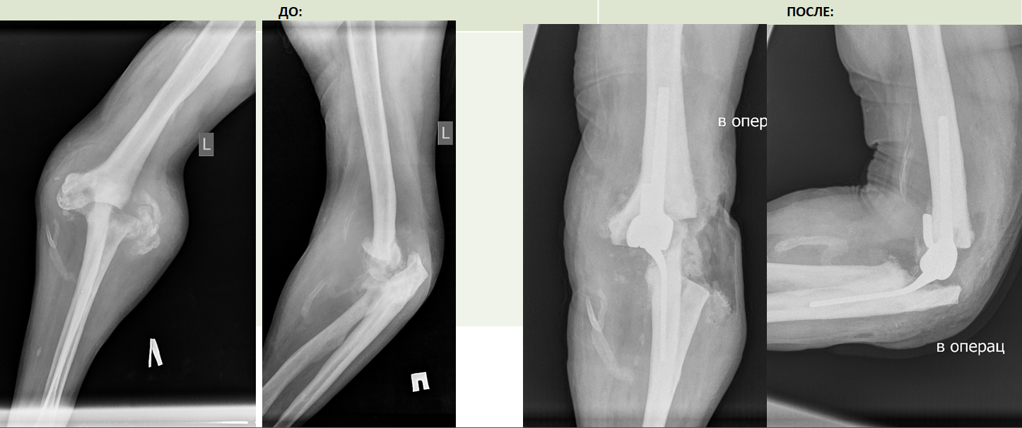
в АВГУСТЕ мы комментировали…
- Пациент из Томска с крайне редкой патологией сустава- артропатией Шарко, приехал в Центр Илизарова с надеждой избавиться от многолетней боли. В Клинике реконструктивно-восстановительной хирургии крупных суставов 68-летнему пациенту тщательно удалили все патологически измененные ткани и заменили пораженный локтевой сустав на эндопротез.
- НМИЦ ТО имени академика Г.А. Илизарова успешно работает в системе телемедицинских консультаций, оказывая методическую помощь коллегам в других регионах страны в самых сложных клинических ситуациях. За 6 месяцев 2025 года врачами Центра Илизарова было проведено 2200 телемедицинских консультаций, по итогам которых были госпитализированы 618 пациентов.
- Аномалия развития кисти у сестер-близнецов – двойной редкий клинический случай в практике кистевых хирургов Клиники реконструктивно-пластической хирургии и хирургии кисти. Довольно часто встречаются семейные случаи аномалий, но впервые за медицинской помощью обратились сестры-близнецы с одинаковой патологией в возрасте 32 лет. У сестер один и тот же вид врожденной деформации – клинобрахидактилия, укорочение средних фаланг и угловая деформация пальцев.
- В рамках нацпроекта «Продолжительная и активная жизнь» в Центре Илизарова совершенствуется система медицинской реабилитации. В Центре Илизарова реабилитация представлена круглосуточным и дневным стационаром, отделением ранней реабилитации и амбулаторным отделением. С пациентами работает мощная команда врачей физической и реабилитационной медицины, а также высококвалифицированные инструкторы-методисты ЛФК, опытные медицинские сестры. Технопарк отделения укомплектован новейшим оборудованием, позволяющим организовать реабилитационный процесс безопасно и качественно.
- Пациентам с болезнью Олье укрепляют кости титановым «растущим» имплантатом. Классическую методику удлинения и коррекции деформации кости по Илизарову комбинируют с армированием телескопическим стержнем. Помимо удлинения и коррекции деформаций, нужно укреплять патологически хрупкую кость, оставляя телескопическую конструкцию внутри, что предотвратило бы рецидив деформаций и переломы.
СЕНТЯБРЬ нас порадовал…
- Центр Илизарова принял участие во Всероссийской акции «Зеленая Россия». Благодаря ординаторам и аспирантам в парке Центра Илизарова появилась новая клумба пионов.
- Врач Центра Илизарова вошла в Галерею почета «Курганцы – гордость города», в номинации «За достижения в сфере здравоохранения» была награждена заведующая консультативно-диагностическим отделением Центра Илизарова, д.м.н. Наталья Сазонова.
- Международному сотрудничеству Китая и Центра Илизарова в сфере науки и образования 20 лет. За это время на образовательной площадке Центра Илизарова повысили свою профессиональную компетенцию свыше 200 китайских травматологов-ортопедов. Академические обмены, проведение мастер-классов, чтение лекций, обучение чрескостному остеосинтезу по Илизарову практикующих врачей травматологов-ортопедов, участие в научно-практических конференциях, совместная исследовательская работа, демонстрация и знакомство с новыми технологиями в ортопедии – грани взаимодействия Центра Илизарова с Поднебесной.
- Проект илизаровских ученых получил высокую оценку жюри XXI Международного салона инноваций и изобретений «Новое время» г.Севастополь, став обладателем золотой медали, и приза «За содействие СВО». Композитная матрица для замещения дефектов суставной поверхности обеспечивает не только заполнение дефекта, но и регенерацию тканей с восстановлением анатомической целостности и функциональных характеристик суставной поверхности.
- В конференции «AI в медицине», собравшей руководителей медицинских учреждений и представителей органов власти Уральского региона, принял участие заместитель директора по административной работе Центра Илизарова, руководитель отдела информационных технологий и информационной безопасности, к.б.н. Альберт Гайдышев. Ключевой темой форума стало обсуждение настоящего и будущего искусственного интеллекта в здравоохранении.
в ОКТЯБРЕ мы освещали новости…
- 18-летняя пациентка из Якутии завершила многоэтапное лечение ортопедических осложнений болезни Эрлахера Блаунта. Впервые девушка обратилась в Центр Илизарова в возрасте 8 лет в 2015 году. Это заболевание - не просто косметический дефект, а серьезная ортопедическая проблема, сопровождающаяся нарушением походки у ребенка. Пациенты нуждаются в хирургической коррекции с последующей длительной реабилитацией.
- Публикация о том, как алжирский пожарный Хамза Гуасми прилетел из Африки в Курган с надеждой пройти лечение после тяжелой аварии в Центре Илизарова подхватили международные СМИ, новость появилась в социальных сетях информационного агентства Sputnik Africa.
- Врач-анестезиолог отделения анестезиологии и реанимации Центра Илизарова Игорь Кочегаров в составе курганской команды «Доктор плюс» принял участие во Всероссийском турнире среди команд врачей "Кубок Гиппократа 2025".
- В Центре Илизарова проходят съемки эпизода документального фильма «История главной победы». Главные герои картины: дети-инвалиды 7 - 14 лет, игроки команды по следж-хоккею «Ладья». Один из героев - пациент Центра Илизарова 15-летний Вячеслав Юрченко.
в НОЯБРЕ мы писали…
- Образовательная программа учебного отдела Центра Илизарова стала победителем премии «МЕДОБР-НАВИГАТОР 2025» IV Международного Конгресса Ассоциации «РОСМЕДОБР» в номинации «Образовательная траектория» (ДПО). Лучшей была признана программа ДПО повышения квалификации врачей «Актуальные вопросы чрескостного остеосинтеза в травматологии и ортопедии» (72 часа).
- Томские и курганские ученые создали полный цикл производства биодеградируемых имплантатов — от создания материала для 3D-печати до изготовления и модификации поверхности - их уже успешно применяют в Центре Илизарова. Персонифицированные имплантаты используются для замещения крупных костных дефектов: при травмах, дистракционном остеосинтезе, онкоортопедической патологии. Ячеистый имплантат из биоактивного деградируемого полимера насыщенного гидроксиапатитом замещает дефект и не требует повторной операции для удаления, он распадается на углекислый газ. Имплантаты получили награду как лучшее изобретение в России, золотую медаль XXVI Международного салона изобретений и инновационных технологий «Архимед 2023».
- Экспертная группа НМИЦ ТО имени академика Г.А. Илизарова Минздрава России встретилась с вице-губернатором Хабаровского края. Специалисты из Кургана: Александр Бурцев, Андрей Каминский, Оксана Недобоева ознакомились работой медучреждений Хабаровского края.
Итогами встречи стали поручения вице-губернатора краевому Минздраву о формировании потребностей в оборудовании и обучении специалистов.
- В Центре Илизарова реализуется насыщенная программа учебных циклов по чрескостному остеосинтезу в травматологии и ортопедии для иностранных врачей. В ноябре завершили обучение врачи из Малайзии, Индонезии, Филиппин и стартовал образовательный курс для специалистов из Индии, Филиппин и Алжира. Сербский врач завершил месячную стажировку по индивидуальной программе. За время стажировки сербский специалист познакомился с разными направлениями работы Центра Илизарова – клиническими и научными – на базе Клиники нейроортопедии и системных заболеваний, Клиники костно-суставной инфекции и Экспериментального отдела.
в ДЕКАБРЕ мы рассказывали…
- В клинических отделениях и на базе клинико-диагностической лаборатории Центра Илизарова проходят практику 22 студента 3-4 курсов Курганского базового медицинского колледжа. Молодые люди представляют направления: сестринское дело, лечебное дело, лабораторная диагностика. Молодой человек 28 лет обратился в Клинику патологии позвоночника и редких заболеваний Центра Илизарова с жалобами на боли в спине и ноге.
- Нейрохирурги Клиники патологии позвоночника и редких заболеваний Центра Илизарова провели первую операцию по удалению грыжи диска инновационным способом чрескожной дискэктомии. 28-летнему пациенту с жалобами на боли в спине и ноге купировали болевой синдром при помощи новейшего оборудования - прибора Диском, который позволяет прицельно работать с грыжами в позвоночнике. Под рентген-контролем в межпозвонковый диск вводится игла-направитель, через нее хирург вводит инструмент с различными насадками-фрезами. Инструмент наматывает на себя части разрушенного диска и собирает их в специальный контейнер.
- В Центре Илизарова с рабочим визитом побывала руководитель Федеральной службы по надзору в сфере здравоохранения Алла Самойлова. Вместе с представителями Департамента здравоохранения Курганской области она познакомилась с тем, как Центр Илизарова реализует программу внутреннего контроля качества и безопасности медицинской деятельности. В этом году Центр успешно прошел аккредитацию и получил сертификат Росздравнадзора. А.В.Самойлова отметила, что при наличии такой методологической базы Центр Илизарова может стать центром компетенции по внедрению системы контроля качества. Система выстроена совершенно правильно, сертификат получен, группы качества работают по каждому направлению.
Политика о персональных данных
Положение о защите персональных данных пациентов
в ФГБУ «РНЦ «ВТО» им.акад. Г.А.Илизарова» Минздрава России
1. ОБЩИЕ ПОЛОЖЕНИЯ
1.1 Положение о защите персональных данных (далее – Положение) разработано в соответствии с Федеральным законом от 27.07.2006 N 152-ФЗ «О персональных данных» и определяет основные принципы обработки персональных данных.
1.2 Положение декларирует соответствие ФГБУ «РНЦ «ВТО» им.акад.Г.А.Илизарова» Минздрава России (далее – Центр) требованиям законодательства РФ к обработке персональных данных.
1.3 ФГБУ «РНЦ «ВТО» им.акад.Г.А.Илизарова» Минздрава России является оператором персональных данных и внесено в реестр операторов, осуществляющих обработку персональных данных.
1.4 Все работники, участвующие в обработке персональных данных, должны быть ознакомлены с Положением.
2. ОСНОВНЫЕ ПОНЯТИЯ
2.1 В Положении используются следующие понятия и определения:
- персональные данные – любая информация, относящаяся к определенному или определяемому на основании такой информации физическому лицу (субъекту персональных данных), в том числе его фамилия, имя, отчество, год, месяц, дата и место рождения, адрес, семейное, социальное, имущественное положение, образование, профессия, доходы, другая информация;
- обработка персональных данных – действия (операции) с персональными данными, включая сбор, систематизацию, накопление, хранение, уточнение (обновление, изменение), использование, распространение (в том числе передачу), обезличивание, блокирование, уничтожение персональных данных;
- информационная система персональных данных – информационная система, представляющая собой совокупность персональных данных, содержащихся в базе данных, а также информационных технологий и технических средств, позволяющих осуществлять обработку таких персональных данных с использованием средств автоматизации или без использования таких средств;
- обработка персональных данных без использования средств автоматизации (неавтоматизированная) – обработка персональных данных, содержащихся в информационной системе персональных данных либо извлеченных из такой системы, если такие действия с персональными данными, как использование, уточнение, распространение, уничтожение персональных данных в отношении каждого из субъектов персональных данных, осуществляются при непосредственном участии человека;
- оператор - государственный орган, муниципальный орган, юридическое или физическое лицо, организующие и (или) осуществляющие обработку персональных данных, а также определяющие цели и содержание обработки персональных данных;
3. ЦЕЛИ И ОСНОВАНИЯ ОБРАБОТКИ ПЕРСОНАЛЬНЫХ ДАННЫХ
3.1 Обработка персональных данных в ФГБУ «РНЦ «ВТО» им.акад.Г.А.Илизарова» Минздрава России осуществляется в целях оказания медицинских услуг населению.
3.2 Обработка персональных данных в ФГБУ «РНЦ «ВТО» им.акад.Г.А.Илизарова» Минздрава России осуществляется на основании:
- Федерального закона «Об основах охраны здоровья граждан в Российской Федерации» №323-ФЗ;
- Федерального закона «О защите прав потребителей»;
- Федерального закона «О персональных данных» от 27.07.2006г. № 152-ФЗ;
4. ПОРЯДОК ОБРАБОТКИ ПЕРСОНАЛЬНЫХ ДАННЫХ
4.1 Перечень обрабатываемых в ФГБУ «РНЦ «ВТО» им.акад.Г.А.Илизарова» Минздрава России персональных данных определяется приказом директором.
4.2 Получение персональных данных осуществляется от субъектов персональных данных на основании согласия (форма согласия приведена в приложении 1) или в рамках договоров, одной из сторон которых является субъект персональных данных.
4.3 Доступ к персональным данным имеют сотрудники ФГБУ «РНЦ «ВТО» им.акад.Г.А.Илизарова» Минздрава России, которые, в связи с исполнением своих должностных обязанностей, занимаются обработкой персональных данных. Перечень подразделений, сотрудники которых имеют доступ к персональным данным, утверждается приказом директора ФГБУ «РНЦ «ВТО» им.акад.Г.А.Илизарова» Минздрава России.
4.4 В ФГБУ «РНЦ «ВТО» им.акад.Г.А.Илизарова» Минздрава России персональные данные хранятся в бумажном и электронном виде в информационных системах персональных данных.
4.5 Обработка персональных данных в ФГБУ «РНЦ «ВТО» им.акад.Г.А.Илизарова» Минздрава России осуществляется как с использованием средств автоматизации, так и без использования таких средств.
4.6 Обработка персональных данных в ФГБУ «РНЦ «ВТО» им.акад.Г.А.Илизарова» Минздрава России включает: сбор, систематизацию, использование, хранение, передачу, обновление и уничтожение персональных данных.
4.7 При обработке персональных данных в ФГБУ «РНЦ «ВТО» им.акад.Г.А.Илизарова» Минздрава России соблюдаются следующие требования:
- хранение персональных данных осуществляется не дольше, чем этого требуют цели обработки или законодательство РФ;
- объем, характер и способы обработки персональных данных соответствуют заявленным целям;
- не допускается объединение созданных для несовместимых между собой целей баз данных информационных систем персональных данных;
- обрабатываемые персональные данные должны быть достоверными, а их объем должен быть достаточным для целей обработки;
- не допускается обработка персональных данных избыточных по отношению к целям обработки;
- в случае достижения целей обработки и истечении срока хранения, обработка персональных данных незамедлительно прекращается и персональные данные уничтожаются в срок, установленный законодательством РФ.
5. ОБРАБОТКА ПЕРСОНАЛЬНЫХ ДАННЫХ С ИСПОЛЬЗОВАНИЕМ СРЕДСТВ АВТОМАТИЗАЦИИ
5.1 Обработка персональных данных в информационных системах персональных данных с использованием средств автоматизации осуществляется в соответствии с Постановлением Правительства РФ от 1 ноября 2012 г. №1119 «Об утверждении требований к защите персональных данных при их обработке в информационных системах персональных данных».
5.2 Обработка персональных данных осуществляется в информационной системе «Самсон».
5.3 Информационные системы персональных данных ФГБУ «РНЦ «ВТО» им.акад.Г.А.Илизарова» Минздрава России классифицированы в соответствии с Постановлением Правительства РФ от 1 ноября 2012 г. №1119 «Об утверждении требований к защите персональных данных при их обработке в информационных системах персональных данных».
5.4 Требования к автоматизированной обработке персональных данных в информационных системах персональных данных устанавливаются внутренними организационно-распорядительными документами ФГБУ «РНЦ «ВТО» им.акад.Г.А.Илизарова» Минздрава России.
6. ОБРАБОТКА ПЕРСОНАЛЬНЫХ ДАННЫХ БЕЗ ИСПОЛЬЗОВАНИЯ СРЕДСТВ АВТОМАТИЗАЦИИ
6.1 Обработка персональных данных без использования средств автоматизации осуществляется в соответствии с Постановлением Правительства РФ от 15 сентября 2008 г. № 687 «Об утверждении Положения об особенностях обработки персональных данных, осуществляемой без использования средств автоматизации».
6.2 Без использования средств автоматизации обрабатываются персональные данные, содержащиеся в документах на бумажных носителях.
6.3 Использование, хранение и уничтожение документов, содержащих персональные данные, осуществляется в соответствии с установленным в ФГБУ «РНЦ «ВТО» им.акад.Г.А.Илизарова» Минздрава России порядком.
7. ЗАЩИТА ПЕРСОНАЛЬНЫХ ДАННЫХ
7.1 Защита ПДн обеспечивается ФГБУ «РНЦ «ВТО» им.акад.Г.А.Илизарова» Минздрава России в соответствии с требованиями законодательства РФ и нормативно-методическими документами ФСТЭК России и ФСБ России.
7.2 Приказом директора ФГБУ «РНЦ «ВТО» им.акад.Г.А.Илизарова» Минздрава России назначен сотрудник, ответственный за обеспечение безопасности персональных данных.
7.3 Мероприятия по обеспечению безопасности ПДн проводятся в соответствии с внутренними организационно-распорядительными документами ФГБУ «РНЦ «ВТО» им.акад.Г.А.Илизарова» Минздрава России.
7.4 Для защиты ПДн используются необходимые средства защиты информации, сертифицированные в системе сертификации средств защиты.
8. ПРАВА СУБЪЕКТА ПЕРСОНАЛЬНЫХ ДАННЫХ И ОБЯЗАННОСТИ ОПЕРАТОРА ПРИ ОБРАБОТКЕ ПЕРСОНАЛЬНЫХ ДАННЫХ
8.1 Субъекты персональных данных имеют права, определенные в главе 3 Федерального закона Российской Федерации от 27 июля 2006 г. № 152-ФЗ «О персональных данных».
8.2 ФГБУ «РНЦ «ВТО» им.акад.Г.А.Илизарова» Минздрава России как оператор персональных данных выполняет обязанности, определенные главой 4 Федерального закона Российской Федерации от 27 июля 2006 г. №152-ФЗ «О персональных данных».
9. ОТВЕТСТВЕННОСТЬ И ОБЯЗАННОСТИ СОТРУДНИКОВ
9.1 Работники ФГБУ «РНЦ «ВТО» им.акад.Г.А.Илизарова» Минздрава России при обработке ПДн должны руководствоваться Положением и другими организационно-распорядительным документами ФГБУ «РНЦ «ВТО» им.акад.Г.А.Илизарова» Минздрава России.
9.2 Работники ФГБУ «РНЦ «ВТО» им.акад.Г.А.Илизарова» Минздрава России, нарушившие требования законодательства РФ в области защиты ПДн и организационно-распорядительных документов ФГБУ «РНЦ «ВТО» им.акад.Г.А.Илизарова» Минздрава России, несут дисциплинарную, административную, гражданско-правовую и уголовную ответственность в соответствии с законодательством РФ.
Согласие
на обработку персональных данных
Я, обратившийся в ФГБУ «НМИЦ ТО имени академика Г.А. Илизарова» Минздрава России (г.. Курган, ул. М.Ульяновой, д.6) (далее – Оператор) за оказанием медицинской помощи, в соответствии с требованиями статьи 9 ФЗ от 27.07.2006 №152-ФЗ «О персональных данных», Федеральным законом от 21.11.2011 №323-ФЗ «Об основах охраны здоровья граждан в РФ» подтверждаю свое согласие на получение, хранение, комбинирование, уничтожение, уточнение, обработку и размещение Оператором моих и/или ребенка (лица, признанного недееспособным) персональных данных в автоматизированных информационных системах и на бумажных носителях Оператора, включающих:
фамилию, имя, отчество, месяц, дату и место рождения, пол, гражданство, место жительства, сведения о регистрации по месту жительства, месту проживания, дата регистрации, реквизиты документа, удостоверяющего личность (серия, номер, дата выдачи, наименование и код подразделения органа выдавшего документ), реквизиты полисов медицинского страхования, страховой номер индивидуального лицевого счета в Пенсионном фонде России (СНИЛС), анамнез, диагноз, сведения об организации, оказавшей медицинские услуги, вид оказанной медицинской помощи, сроки оказания медицинской помощи, объем оказанной медицинской помощи, результат обращения за медицинской помощью, серия и номер выданного листка нетрудоспособности (при наличии), сведения об оказанных медицинских услугах, примененные стандарты медицинской помощи, сведения о медицинском работнике или работниках, оказавших медицинскую услугу, номер телефона, электронный адрес в целях:
-установления медицинского диагноза, оказания медицинских и медико-социальных услуг;
- защиты моих прав на получение качественной медицинской помощи;
- осуществления контроля качества оказанных мне медицинских услуг, проведения медико-профилактических мероприятий;
- оплаты оказанных по программе обязательного и добровольного медицинского страхования медицинских услуг;
- ведения учета оказанной медицинской помощи;
- формирования медицинских статистических данных в формах медико-статистического наблюдения;
- обеспечения соблюдения законов РФ и иных нормативных правовых актов РФ.
Предоставляю Оператору право осуществлять при обработке моих персональных данных все действия (операции) или совокупность действий (операций), совершаемых с использованием средств автоматизации или без использования таких средств, с персональными данными, включая сбор, запись, сбор речевой информации в ходе приема, систематизацию, накопление, уточнение (обновление, изменение), извлечение, использование, передачу, обезличивание, блокирование, удаление, уничтожение персональных данных.
Оператор вправе обрабатывать мои персональные данные посредством внесения их в информационные хранилища (электронную базу данных, списки, реестры, регистры), а также учетные и отчетные формы в электронном и бумажном исполнении. Оператор вправе осуществлять обработку моих персональных данных централизованно в Единой государственной информационной системе в сфере здравоохранения, региональной информационной системе здравоохранения Курганской области.
Оператор имеет право получать и передавать мои персональные данные, в том числе содержащие сведения, составляющие врачебную тайну, с использованием средств автоматизации и без использования таких средств, на материальных носителях, в том числе в бумажном виде в следующие государственные органы, организации (учреждения):
- федеральному и территориальному фондам обязательного медицинского страхования;
- пенсионному фонду РФ, включая территориальные органы;
- страховым медицинским организациям, осуществляющим мое страхование;
- организациям (учреждениям), осуществляющим на законном основании обработку медико-статистической информации;
- органам управления здравоохранения РФ, органам управления здравоохранением Курганской области и органам управления здравоохранения РФ муниципальных образований,
- иным медицинским организациям РФ (регионального и федерального уровней) на законном основании осуществляющим свою медицинскую деятельность, для установления мне медицинского диагноза, определения тактики лечения и оказания медицинских и медико-социальных услуг, в медико-профилактических целях при условии, что обработка персональных данных осуществляется лицом, профессионально занимающимся медицинской деятельностью и обязанным в соответствии с законодательством РФ сохранять врачебную тайну.
Передача моих персональных данных иным лицам или иное их разглашение может осуществляться только с моего письменного согласия.
Настоящее согласие действует бессрочно, в случае если согласие не отозвано в письменной форме. Я оставляю за собой право отозвать свое согласие посредством составления соответствующего письменного заявления, которое может быть направлено в адрес Оператора по почте заказным письмом с уведомлением о вручении либо вручено лично под роспись представителю Оператора.
В случае получения моего письменного заявления об отзыве настоящего согласия на обработку персональных данных Оператор обязан прекратить их обработку в течение периода времени, необходимого для завершения взаиморасчетов по оплате оказанной мне до этого медицинской помощи и предоставления соответствующей медико-статистической информации.










