Рентгенологи Центра Илизарова дважды выявили редкие патологии скелета во время обследования
24.02.2026
Неординарные случаи в лучевой диагностике: для врачей – находка для новых научных исследований, для пациентов – шанс вовремя вылечить патологию.
В рамках нацпроекта «Продолжительная и активная жизнь» в Центре Илизарова совершенствуется система диагностики заболеваний и опасных осложнений.
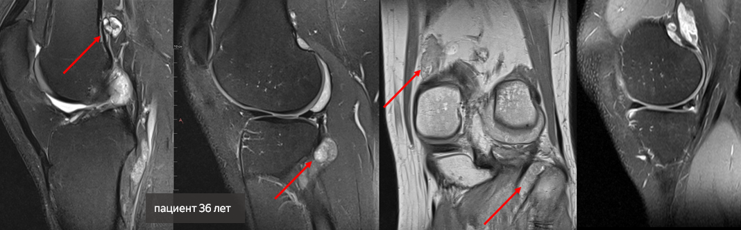
Молодой пациент обратился с жалобами на боли в коленном суставе и нарушение функции. Магнитно-резонансная томография показала наличие в коленном суставе множественных образований.
Рентгенологи поставили знак вопроса относительно точного диагноза 36-летнему мужчине: синовиальный хондроматоз или синовиальная саркома.
Второй редкий случай у пациентки 61 года. С жалобами на боли в тазобедренном суставе женщина обратилась к травматологу-ортопеду. Дополнительным обследованием была выполнена компьютерная томография.
В проксимальном отделе бедренной кости выявлено объемное образование более 10 сантиметров неоднородной структуры с множеством кальцинатов.
Предположительно, у пациентки хондросаркома. Для уточнения диагноза женщина направлена к онкологам.
Современное оборудование позволяет выявить жизнеугрожающие состояния на ранней стадии, поэтому так важно вовремя проходить диспансеризацию.
Записаться на экспертную диагностику в Центре Илизарова (УЗИ, КТ, МРТ) можно по телефону: 8(3522) 45-37-49.
Политика о персональных данных
Положение о защите персональных данных пациентов
в ФГБУ «РНЦ «ВТО» им.акад. Г.А.Илизарова» Минздрава России
1. ОБЩИЕ ПОЛОЖЕНИЯ
1.1 Положение о защите персональных данных (далее – Положение) разработано в соответствии с Федеральным законом от 27.07.2006 N 152-ФЗ «О персональных данных» и определяет основные принципы обработки персональных данных.
1.2 Положение декларирует соответствие ФГБУ «РНЦ «ВТО» им.акад.Г.А.Илизарова» Минздрава России (далее – Центр) требованиям законодательства РФ к обработке персональных данных.
1.3 ФГБУ «РНЦ «ВТО» им.акад.Г.А.Илизарова» Минздрава России является оператором персональных данных и внесено в реестр операторов, осуществляющих обработку персональных данных.
1.4 Все работники, участвующие в обработке персональных данных, должны быть ознакомлены с Положением.
2. ОСНОВНЫЕ ПОНЯТИЯ
2.1 В Положении используются следующие понятия и определения:
- персональные данные – любая информация, относящаяся к определенному или определяемому на основании такой информации физическому лицу (субъекту персональных данных), в том числе его фамилия, имя, отчество, год, месяц, дата и место рождения, адрес, семейное, социальное, имущественное положение, образование, профессия, доходы, другая информация;
- обработка персональных данных – действия (операции) с персональными данными, включая сбор, систематизацию, накопление, хранение, уточнение (обновление, изменение), использование, распространение (в том числе передачу), обезличивание, блокирование, уничтожение персональных данных;
- информационная система персональных данных – информационная система, представляющая собой совокупность персональных данных, содержащихся в базе данных, а также информационных технологий и технических средств, позволяющих осуществлять обработку таких персональных данных с использованием средств автоматизации или без использования таких средств;
- обработка персональных данных без использования средств автоматизации (неавтоматизированная) – обработка персональных данных, содержащихся в информационной системе персональных данных либо извлеченных из такой системы, если такие действия с персональными данными, как использование, уточнение, распространение, уничтожение персональных данных в отношении каждого из субъектов персональных данных, осуществляются при непосредственном участии человека;
- оператор - государственный орган, муниципальный орган, юридическое или физическое лицо, организующие и (или) осуществляющие обработку персональных данных, а также определяющие цели и содержание обработки персональных данных;
3. ЦЕЛИ И ОСНОВАНИЯ ОБРАБОТКИ ПЕРСОНАЛЬНЫХ ДАННЫХ
3.1 Обработка персональных данных в ФГБУ «РНЦ «ВТО» им.акад.Г.А.Илизарова» Минздрава России осуществляется в целях оказания медицинских услуг населению.
3.2 Обработка персональных данных в ФГБУ «РНЦ «ВТО» им.акад.Г.А.Илизарова» Минздрава России осуществляется на основании:
- Федерального закона «Об основах охраны здоровья граждан в Российской Федерации» №323-ФЗ;
- Федерального закона «О защите прав потребителей»;
- Федерального закона «О персональных данных» от 27.07.2006г. № 152-ФЗ;
4. ПОРЯДОК ОБРАБОТКИ ПЕРСОНАЛЬНЫХ ДАННЫХ
4.1 Перечень обрабатываемых в ФГБУ «РНЦ «ВТО» им.акад.Г.А.Илизарова» Минздрава России персональных данных определяется приказом директором.
4.2 Получение персональных данных осуществляется от субъектов персональных данных на основании согласия (форма согласия приведена в приложении 1) или в рамках договоров, одной из сторон которых является субъект персональных данных.
4.3 Доступ к персональным данным имеют сотрудники ФГБУ «РНЦ «ВТО» им.акад.Г.А.Илизарова» Минздрава России, которые, в связи с исполнением своих должностных обязанностей, занимаются обработкой персональных данных. Перечень подразделений, сотрудники которых имеют доступ к персональным данным, утверждается приказом директора ФГБУ «РНЦ «ВТО» им.акад.Г.А.Илизарова» Минздрава России.
4.4 В ФГБУ «РНЦ «ВТО» им.акад.Г.А.Илизарова» Минздрава России персональные данные хранятся в бумажном и электронном виде в информационных системах персональных данных.
4.5 Обработка персональных данных в ФГБУ «РНЦ «ВТО» им.акад.Г.А.Илизарова» Минздрава России осуществляется как с использованием средств автоматизации, так и без использования таких средств.
4.6 Обработка персональных данных в ФГБУ «РНЦ «ВТО» им.акад.Г.А.Илизарова» Минздрава России включает: сбор, систематизацию, использование, хранение, передачу, обновление и уничтожение персональных данных.
4.7 При обработке персональных данных в ФГБУ «РНЦ «ВТО» им.акад.Г.А.Илизарова» Минздрава России соблюдаются следующие требования:
- хранение персональных данных осуществляется не дольше, чем этого требуют цели обработки или законодательство РФ;
- объем, характер и способы обработки персональных данных соответствуют заявленным целям;
- не допускается объединение созданных для несовместимых между собой целей баз данных информационных систем персональных данных;
- обрабатываемые персональные данные должны быть достоверными, а их объем должен быть достаточным для целей обработки;
- не допускается обработка персональных данных избыточных по отношению к целям обработки;
- в случае достижения целей обработки и истечении срока хранения, обработка персональных данных незамедлительно прекращается и персональные данные уничтожаются в срок, установленный законодательством РФ.
5. ОБРАБОТКА ПЕРСОНАЛЬНЫХ ДАННЫХ С ИСПОЛЬЗОВАНИЕМ СРЕДСТВ АВТОМАТИЗАЦИИ
5.1 Обработка персональных данных в информационных системах персональных данных с использованием средств автоматизации осуществляется в соответствии с Постановлением Правительства РФ от 1 ноября 2012 г. №1119 «Об утверждении требований к защите персональных данных при их обработке в информационных системах персональных данных».
5.2 Обработка персональных данных осуществляется в информационной системе «Самсон».
5.3 Информационные системы персональных данных ФГБУ «РНЦ «ВТО» им.акад.Г.А.Илизарова» Минздрава России классифицированы в соответствии с Постановлением Правительства РФ от 1 ноября 2012 г. №1119 «Об утверждении требований к защите персональных данных при их обработке в информационных системах персональных данных».
5.4 Требования к автоматизированной обработке персональных данных в информационных системах персональных данных устанавливаются внутренними организационно-распорядительными документами ФГБУ «РНЦ «ВТО» им.акад.Г.А.Илизарова» Минздрава России.
6. ОБРАБОТКА ПЕРСОНАЛЬНЫХ ДАННЫХ БЕЗ ИСПОЛЬЗОВАНИЯ СРЕДСТВ АВТОМАТИЗАЦИИ
6.1 Обработка персональных данных без использования средств автоматизации осуществляется в соответствии с Постановлением Правительства РФ от 15 сентября 2008 г. № 687 «Об утверждении Положения об особенностях обработки персональных данных, осуществляемой без использования средств автоматизации».
6.2 Без использования средств автоматизации обрабатываются персональные данные, содержащиеся в документах на бумажных носителях.
6.3 Использование, хранение и уничтожение документов, содержащих персональные данные, осуществляется в соответствии с установленным в ФГБУ «РНЦ «ВТО» им.акад.Г.А.Илизарова» Минздрава России порядком.
7. ЗАЩИТА ПЕРСОНАЛЬНЫХ ДАННЫХ
7.1 Защита ПДн обеспечивается ФГБУ «РНЦ «ВТО» им.акад.Г.А.Илизарова» Минздрава России в соответствии с требованиями законодательства РФ и нормативно-методическими документами ФСТЭК России и ФСБ России.
7.2 Приказом директора ФГБУ «РНЦ «ВТО» им.акад.Г.А.Илизарова» Минздрава России назначен сотрудник, ответственный за обеспечение безопасности персональных данных.
7.3 Мероприятия по обеспечению безопасности ПДн проводятся в соответствии с внутренними организационно-распорядительными документами ФГБУ «РНЦ «ВТО» им.акад.Г.А.Илизарова» Минздрава России.
7.4 Для защиты ПДн используются необходимые средства защиты информации, сертифицированные в системе сертификации средств защиты.
8. ПРАВА СУБЪЕКТА ПЕРСОНАЛЬНЫХ ДАННЫХ И ОБЯЗАННОСТИ ОПЕРАТОРА ПРИ ОБРАБОТКЕ ПЕРСОНАЛЬНЫХ ДАННЫХ
8.1 Субъекты персональных данных имеют права, определенные в главе 3 Федерального закона Российской Федерации от 27 июля 2006 г. № 152-ФЗ «О персональных данных».
8.2 ФГБУ «РНЦ «ВТО» им.акад.Г.А.Илизарова» Минздрава России как оператор персональных данных выполняет обязанности, определенные главой 4 Федерального закона Российской Федерации от 27 июля 2006 г. №152-ФЗ «О персональных данных».
9. ОТВЕТСТВЕННОСТЬ И ОБЯЗАННОСТИ СОТРУДНИКОВ
9.1 Работники ФГБУ «РНЦ «ВТО» им.акад.Г.А.Илизарова» Минздрава России при обработке ПДн должны руководствоваться Положением и другими организационно-распорядительным документами ФГБУ «РНЦ «ВТО» им.акад.Г.А.Илизарова» Минздрава России.
9.2 Работники ФГБУ «РНЦ «ВТО» им.акад.Г.А.Илизарова» Минздрава России, нарушившие требования законодательства РФ в области защиты ПДн и организационно-распорядительных документов ФГБУ «РНЦ «ВТО» им.акад.Г.А.Илизарова» Минздрава России, несут дисциплинарную, административную, гражданско-правовую и уголовную ответственность в соответствии с законодательством РФ.
Согласие
на обработку персональных данных
Я, обратившийся в ФГБУ «НМИЦ ТО имени академика Г.А. Илизарова» Минздрава России (г.. Курган, ул. М.Ульяновой, д.6) (далее – Оператор) за оказанием медицинской помощи, в соответствии с требованиями статьи 9 ФЗ от 27.07.2006 №152-ФЗ «О персональных данных», Федеральным законом от 21.11.2011 №323-ФЗ «Об основах охраны здоровья граждан в РФ» подтверждаю свое согласие на получение, хранение, комбинирование, уничтожение, уточнение, обработку и размещение Оператором моих и/или ребенка (лица, признанного недееспособным) персональных данных в автоматизированных информационных системах и на бумажных носителях Оператора, включающих:
фамилию, имя, отчество, месяц, дату и место рождения, пол, гражданство, место жительства, сведения о регистрации по месту жительства, месту проживания, дата регистрации, реквизиты документа, удостоверяющего личность (серия, номер, дата выдачи, наименование и код подразделения органа выдавшего документ), реквизиты полисов медицинского страхования, страховой номер индивидуального лицевого счета в Пенсионном фонде России (СНИЛС), анамнез, диагноз, сведения об организации, оказавшей медицинские услуги, вид оказанной медицинской помощи, сроки оказания медицинской помощи, объем оказанной медицинской помощи, результат обращения за медицинской помощью, серия и номер выданного листка нетрудоспособности (при наличии), сведения об оказанных медицинских услугах, примененные стандарты медицинской помощи, сведения о медицинском работнике или работниках, оказавших медицинскую услугу, номер телефона, электронный адрес в целях:
-установления медицинского диагноза, оказания медицинских и медико-социальных услуг;
- защиты моих прав на получение качественной медицинской помощи;
- осуществления контроля качества оказанных мне медицинских услуг, проведения медико-профилактических мероприятий;
- оплаты оказанных по программе обязательного и добровольного медицинского страхования медицинских услуг;
- ведения учета оказанной медицинской помощи;
- формирования медицинских статистических данных в формах медико-статистического наблюдения;
- обеспечения соблюдения законов РФ и иных нормативных правовых актов РФ.
Предоставляю Оператору право осуществлять при обработке моих персональных данных все действия (операции) или совокупность действий (операций), совершаемых с использованием средств автоматизации или без использования таких средств, с персональными данными, включая сбор, запись, сбор речевой информации в ходе приема, систематизацию, накопление, уточнение (обновление, изменение), извлечение, использование, передачу, обезличивание, блокирование, удаление, уничтожение персональных данных.
Оператор вправе обрабатывать мои персональные данные посредством внесения их в информационные хранилища (электронную базу данных, списки, реестры, регистры), а также учетные и отчетные формы в электронном и бумажном исполнении. Оператор вправе осуществлять обработку моих персональных данных централизованно в Единой государственной информационной системе в сфере здравоохранения, региональной информационной системе здравоохранения Курганской области.
Оператор имеет право получать и передавать мои персональные данные, в том числе содержащие сведения, составляющие врачебную тайну, с использованием средств автоматизации и без использования таких средств, на материальных носителях, в том числе в бумажном виде в следующие государственные органы, организации (учреждения):
- федеральному и территориальному фондам обязательного медицинского страхования;
- пенсионному фонду РФ, включая территориальные органы;
- страховым медицинским организациям, осуществляющим мое страхование;
- организациям (учреждениям), осуществляющим на законном основании обработку медико-статистической информации;
- органам управления здравоохранения РФ, органам управления здравоохранением Курганской области и органам управления здравоохранения РФ муниципальных образований,
- иным медицинским организациям РФ (регионального и федерального уровней) на законном основании осуществляющим свою медицинскую деятельность, для установления мне медицинского диагноза, определения тактики лечения и оказания медицинских и медико-социальных услуг, в медико-профилактических целях при условии, что обработка персональных данных осуществляется лицом, профессионально занимающимся медицинской деятельностью и обязанным в соответствии с законодательством РФ сохранять врачебную тайну.
Передача моих персональных данных иным лицам или иное их разглашение может осуществляться только с моего письменного согласия.
Настоящее согласие действует бессрочно, в случае если согласие не отозвано в письменной форме. Я оставляю за собой право отозвать свое согласие посредством составления соответствующего письменного заявления, которое может быть направлено в адрес Оператора по почте заказным письмом с уведомлением о вручении либо вручено лично под роспись представителю Оператора.
В случае получения моего письменного заявления об отзыве настоящего согласия на обработку персональных данных Оператор обязан прекратить их обработку в течение периода времени, необходимого для завершения взаиморасчетов по оплате оказанной мне до этого медицинской помощи и предоставления соответствующей медико-статистической информации.
Наш сайт обрабатывает файлы cookie (в том числе, файлы cookie, используемые «Яндекс-метрикой»).
Они помогают делать сайт удобнее для пользователей.
Нажав кнопку «Соглашаюсь», вы даете свое согласие на обработку файлов cookie вашего браузера.
Обработка данных пользователей осуществляется в соответствии с Политикой обработки персональных данных в Федеральным государственным бюджетным учреждением «Национальный медицинский исследовательский центр травматологии и ортопедии имени академика Г.А. Илизарова» Министерства здравоохранения Российской Федерации.
Политика обработки персональных данных в Федеральном государственном бюджетным учреждением «Национальный медицинский исследовательский центр травматологии и ортопедии имени академика Г.А. Илизарова» Министерства здравоохранения Российской Федерации Согласие на обработку данных пользователя сайтаПользователь, настоящим сообщением, проинформирован о необходимости прекратить использование Сайта или о необходимости отключить файлы Cookies в настройках браузера.
Политика обработки персональных данных
Положение о защите персональных данных пациентов в ФГБУ «РНЦ «ВТО» им.акад. Г.А.Илизарова» Минздрава России
1. ОБЩИЕ ПОЛОЖЕНИЯ
1.1 Положение о защите персональных данных (далее – Положение) разработано в соответствии с Федеральным законом от 27.07.2006 N 152-ФЗ «О персональных данных» и определяет основные принципы обработки персональных данных.1.2 Положение декларирует соответствие ФГБУ «РНЦ «ВТО» им.акад.Г.А.Илизарова» Минздрава России (далее – Центр) требованиям законодательства РФ к обработке персональных данных.
1.3 ФГБУ «РНЦ «ВТО» им.акад.Г.А.Илизарова» Минздрава России является оператором персональных данных и внесено в реестр операторов, осуществляющих обработку персональных данных.
1.4 Все работники, участвующие в обработке персональных данных, должны быть ознакомлены с Положением.
2. ОСНОВНЫЕ ПОНЯТИЯ
2.1 В Положении используются следующие понятия и определения:- персональные данные – любая информация, относящаяся к определенному или определяемому на основании такой информации физическому лицу (субъекту персональных данных), в том числе его фамилия, имя, отчество, год, месяц, дата и место рождения, адрес, семейное, социальное, имущественное положение, образование, профессия, доходы, другая информация;
- обработка персональных данных – действия (операции) с персональными данными, включая сбор, систематизацию, накопление, хранение, уточнение (обновление, изменение), использование, распространение (в том числе передачу), обезличивание, блокирование, уничтожение персональных данных;
- информационная система персональных данных – информационная система, представляющая собой совокупность персональных данных, содержащихся в базе данных, а также информационных технологий и технических средств, позволяющих осуществлять обработку таких персональных данных с использованием средств автоматизации или без использования таких средств;
- обработка персональных данных без использования средств автоматизации (неавтоматизированная) – обработка персональных данных, содержащихся в информационной системе персональных данных либо извлеченных из такой системы, если такие действия с персональными данными, как использование, уточнение, распространение, уничтожение персональных данных в отношении каждого из субъектов персональных данных, осуществляются при непосредственном участии человека;
- оператор - государственный орган, муниципальный орган, юридическое или физическое лицо, организующие и (или) осуществляющие обработку персональных данных, а также определяющие цели и содержание обработки персональных данных;
3. ЦЕЛИ И ОСНОВАНИЯ ОБРАБОТКИ ПЕРСОНАЛЬНЫХ ДАННЫХ
3.1 Обработка персональных данных в ФГБУ «РНЦ «ВТО» им.акад.Г.А.Илизарова» Минздрава России осуществляется в целях оказания медицинских услуг населению.3.2 Обработка персональных данных в ФГБУ «РНЦ «ВТО» им.акад.Г.А.Илизарова» Минздрава России осуществляется на основании:
- Федерального закона «Об основах охраны здоровья граждан в Российской Федерации» №323-ФЗ;
- Федерального закона «О защите прав потребителей»;
- Федерального закона «О персональных данных» от 27.07.2006г. № 152-ФЗ;
- Постановления Правительства РФ от 1 ноября 2012 г. №1119 «Об утверждении требований к защите персональных данных при их обработке в информационных системах персональных данных».
4. ПОРЯДОК ОБРАБОТКИ ПЕРСОНАЛЬНЫХ ДАННЫХ
4.1 Перечень обрабатываемых в ФГБУ «РНЦ «ВТО» им.акад.Г.А.Илизарова» Минздрава России персональных данных определяется приказом директором.4.2 Получение персональных данных осуществляется от субъектов персональных данных на основании согласия (форма согласия приведена в приложении 1) или в рамках договоров, одной из сторон которых является субъект персональных данных.
4.3 Доступ к персональным данным имеют сотрудники ФГБУ «РНЦ «ВТО» им.акад.Г.А.Илизарова» Минздрава России, которые, в связи с исполнением своих должностных обязанностей, занимаются обработкой персональных данных. Перечень подразделений, сотрудники которых имеют доступ к персональным данным, утверждается приказом директора ФГБУ «РНЦ «ВТО» им.акад.Г.А.Илизарова» Минздрава России.
4.4 В ФГБУ «РНЦ «ВТО» им.акад.Г.А.Илизарова» Минздрава России персональные данные хранятся в бумажном и электронном виде в информационных системах персональных данных.
4.5 Обработка персональных данных в ФГБУ «РНЦ «ВТО» им.акад.Г.А.Илизарова» Минздрава России осуществляется как с использованием средств автоматизации, так и без использования таких средств.
4.6 Обработка персональных данных в ФГБУ «РНЦ «ВТО» им.акад.Г.А.Илизарова» Минздрава России включает: сбор, систематизацию, использование, хранение, передачу, обновление и уничтожение персональных данных.
4.7 При обработке персональных данных в ФГБУ «РНЦ «ВТО» им.акад.Г.А.Илизарова» Минздрава России соблюдаются следующие требования:
- хранение персональных данных осуществляется не дольше, чем этого требуют цели обработки или законодательство РФ;
- объем, характер и способы обработки персональных данных соответствуют заявленным целям;
- не допускается объединение созданных для несовместимых между собой целей баз данных информационных систем персональных данных;
- обрабатываемые персональные данные должны быть достоверными, а их объем должен быть достаточным для целей обработки;
- не допускается обработка персональных данных избыточных по отношению к целям обработки;
- в случае достижения целей обработки и истечении срока хранения, обработка персональных данных незамедлительно прекращается и персональные данные уничтожаются в срок, установленный законодательством РФ.
5. ОБРАБОТКА ПЕРСОНАЛЬНЫХ ДАННЫХ С ИСПОЛЬЗОВАНИЕМ СРЕДСТВ АВТОМАТИЗАЦИИ
5.1 Обработка персональных данных в информационных системах персональных данных с использованием средств автоматизации осуществляется в соответствии с Постановлением Правительства РФ от 1 ноября 2012 г. №1119 «Об утверждении требований к защите персональных данных при их обработке в информационных системах персональных данных».5.2 Обработка персональных данных осуществляется в информационной системе «Самсон».
5.3 Информационные системы персональных данных ФГБУ «РНЦ «ВТО» им.акад.Г.А.Илизарова» Минздрава России классифицированы в соответствии с Постановлением Правительства РФ от 1 ноября 2012 г. №1119 «Об утверждении требований к защите персональных данных при их обработке в информационных системах персональных данных».
5.4 Требования к автоматизированной обработке персональных данных в информационных системах персональных данных устанавливаются внутренними организационно-распорядительными документами ФГБУ «РНЦ «ВТО» им.акад.Г.А.Илизарова» Минздрава России.
6. ОБРАБОТКА ПЕРСОНАЛЬНЫХ ДАННЫХ БЕЗ ИСПОЛЬЗОВАНИЯ СРЕДСТВ АВТОМАТИЗАЦИИ
6.1 Обработка персональных данных без использования средств автоматизации осуществляется в соответствии с Постановлением Правительства РФ от 15 сентября 2008 г. № 687 «Об утверждении Положения об особенностях обработки персональных данных, осуществляемой без использования средств автоматизации».6.2 Без использования средств автоматизации обрабатываются персональные данные, содержащиеся в документах на бумажных носителях.
6.3 Использование, хранение и уничтожение документов, содержащих персональные данные, осуществляется в соответствии с установленным в ФГБУ «РНЦ «ВТО» им.акад.Г.А.Илизарова» Минздрава России порядком.
7. ЗАЩИТА ПЕРСОНАЛЬНЫХ ДАННЫХ
7.1 Защита ПДн обеспечивается ФГБУ «РНЦ «ВТО» им.акад.Г.А.Илизарова» Минздрава России в соответствии с требованиями законодательства РФ и нормативно-методическими документами ФСТЭК России и ФСБ России.7.2 Приказом директора ФГБУ «РНЦ «ВТО» им.акад.Г.А.Илизарова» Минздрава России назначен сотрудник, ответственный за обеспечение безопасности персональных данных.
7.3 Мероприятия по обеспечению безопасности ПДн проводятся в соответствии с внутренними организационно-распорядительными документами ФГБУ «РНЦ «ВТО» им.акад.Г.А.Илизарова» Минздрава России.
7.4 Для защиты ПДн используются необходимые средства защиты информации, сертифицированные в системе сертификации средств защиты.
8. ПРАВА СУБЪЕКТА ПЕРСОНАЛЬНЫХ ДАННЫХ И ОБЯЗАННОСТИ ОПЕРАТОРА ПРИ ОБРАБОТКЕ ПЕРСОНАЛЬНЫХ ДАННЫХ
8.1 Субъекты персональных данных имеют права, определенные в главе 3 Федерального закона Российской Федерации от 27 июля 2006 г. № 152-ФЗ «О персональных данных».8.2 ФГБУ «РНЦ «ВТО» им.акад.Г.А.Илизарова» Минздрава России как оператор персональных данных выполняет обязанности, определенные главой 4 Федерального закона Российской Федерации от 27 июля 2006 г. №152-ФЗ «О персональных данных».
9. ОТВЕТСТВЕННОСТЬ И ОБЯЗАННОСТИ СОТРУДНИКОВ
9.1 Работники ФГБУ «РНЦ «ВТО» им.акад.Г.А.Илизарова» Минздрава России при обработке ПДн должны руководствоваться Положением и другими организационно-распорядительным документами ФГБУ «РНЦ «ВТО» им.акад.Г.А.Илизарова» Минздрава России.9.2 Работники ФГБУ «РНЦ «ВТО» им.акад.Г.А.Илизарова» Минздрава России, нарушившие требования законодательства РФ в области защиты ПДн и организационно-распорядительных документов ФГБУ «РНЦ «ВТО» им.акад.Г.А.Илизарова» Минздрава России, несут дисциплинарную, административную, гражданско-правовую и уголовную ответственность в соответствии с законодательством РФ.
Согласие на обработку данных пользователя сайта
Продолжая работу с сайтом ilizarov.ru, вы даете согласие на автоматизированную обработку ваших данных Федеральным государственным бюджетным учреждением «Национальный медицинский исследовательский центр травматологии и ортопедии имени академика Г.А. Илизарова» Министерства здравоохранения Российской Федерации (файлы cookie, содержащие информацию о ваших прошлых посещениях ilizarov.ru, сайты (запросы), с которых вы перешли на сайт ilizarov.ru, присвоенные идентификаторы (ID), IP-адрес, сведения о местоположении, тип устройства, дата и время сессии, сведения о действиях на сайте), в том числе с использованием метрических программ Яндекс.Метрика, которые могут размещать на вашем устройстве файлы cookie и использовать ваши данные на условиях, определенных операторами таких сервисов.
Обработка cookies на основании настоящего согласия осуществляется Федеральным государственным бюджетным учреждением «Национальный медицинский исследовательский центр травматологии и ортопедии имени академика Г.А. Илизарова» Министерства здравоохранения Российской Федерации в целях улучшения функционирования сайта.
Настоящее согласие действует с момента его предоставления и в течение всего периода использования сайта.
В случае отказа от обработки данных вы проинформированы о необходимости прекратить использование сайта или отключения файлов cookie в настройках браузера.

